|
|
|
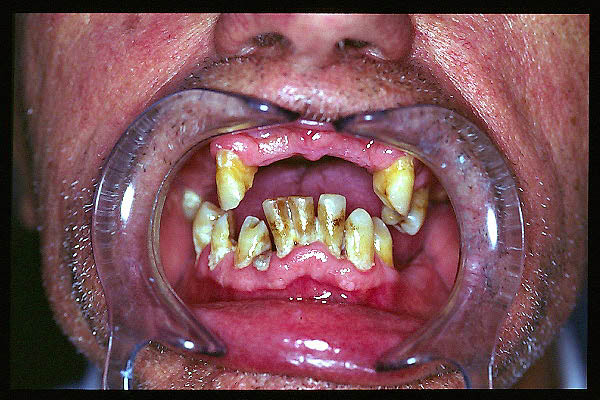
CM Doble labio
|
|
|
|
CM Doble labio
|
|
|
|
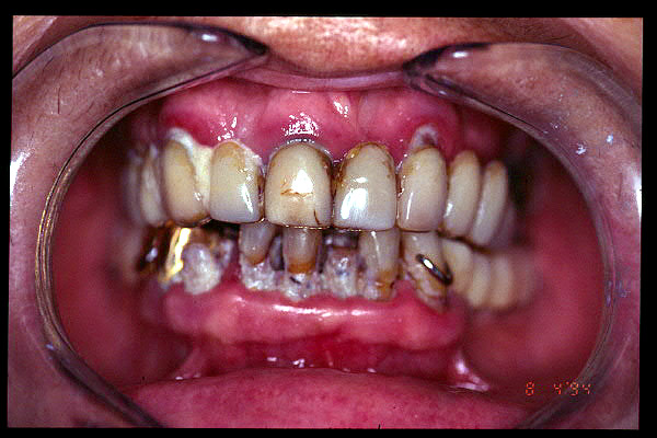
CM Hiperplasia gingival por prótesis
|
|
|
|
CM Hiperplasia por prótesis
|
|
|
|
CM Hipertrofia de glándula sublingual
|
|
|
|
|
CM Doble labio inferior
|
|
|
|
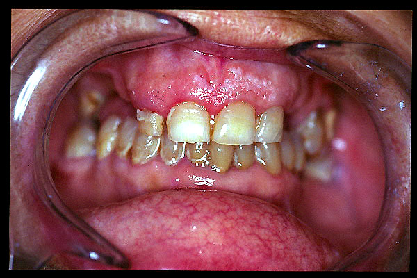
CM Falta de contactos interoclusales
|
|
|
|
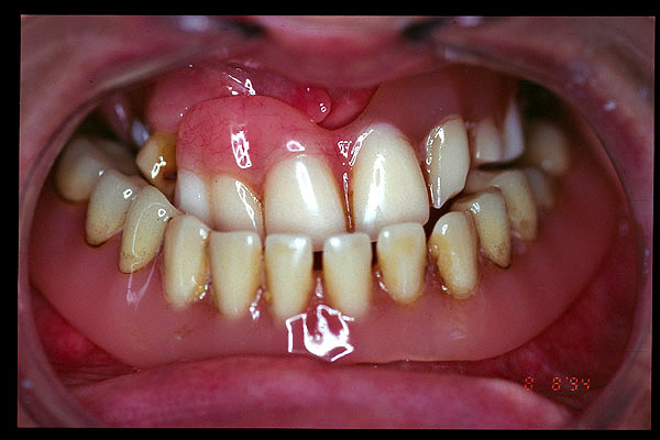
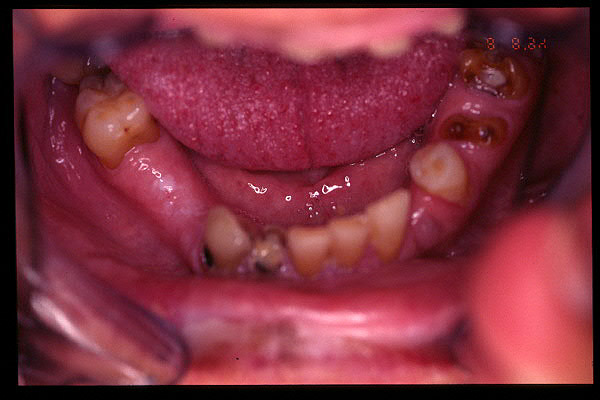
CM Extrusión de incisivos inferiores por falta de contactos oclusales
|
|
|
|
CM Prótesis del año 1950
|
|
|
|
CM Esquelético superior
|
|
|
|
|
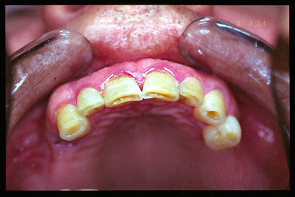
CM Desgaste por bruxismo
|
|
|
|
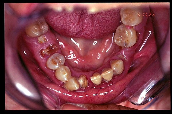
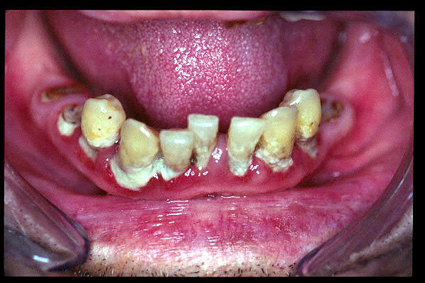
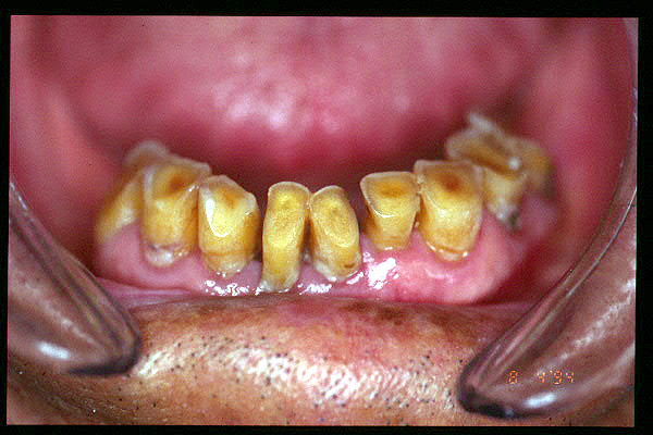
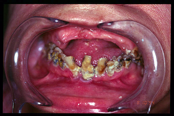
CM Caries, patología periodontal, desgaste.
|
|
|
|
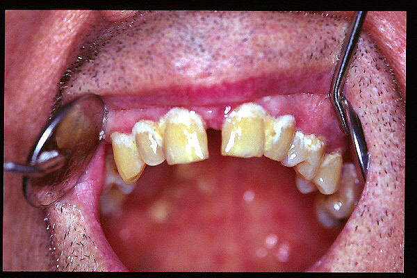
CM Desgaste por bruxismo, presencia de cálculo
|
|
|
|
CM Prótesis dental con mala oclusión y con desgaste excesivo
|
|
|
|
CM El paciente tiene que protuir la mandíbula para poder ocluir
|
|
|
|
|
CM Unico diente remanente: el canino
|
|
|
|
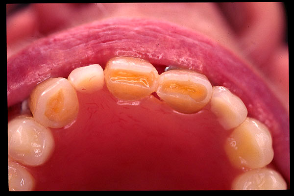
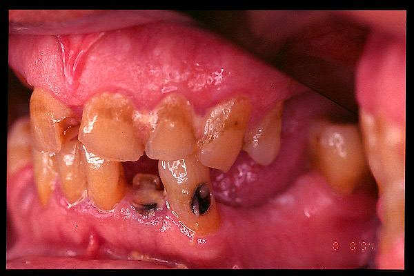
CM Caries cervicales
|
|
|
|
CM Caries cervicales
|
|
|
|
CM Nevus azul lingual
|
|
|
|
CM Doble labio inferior por prótesis mal adaptada
|
|
|
|
|
CM Hiperplasis por una ventosa en la prótesis
|
|
|
|
CM Desviación de la línea media
|
|
|
|
CM Desgaste por bruxismo
|
|
|
|
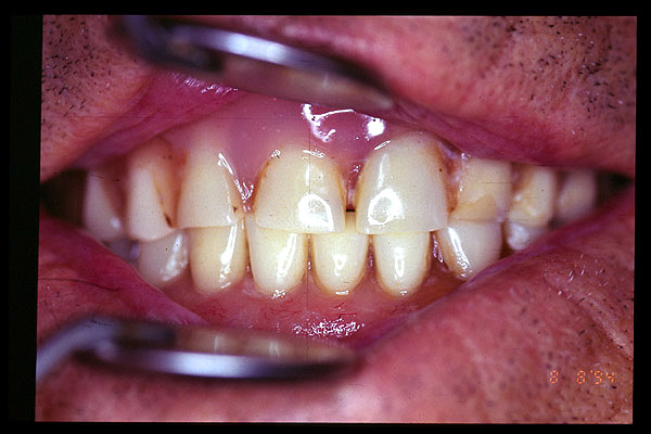
CM Placa bacteriana
|
|
|
|
CM Prótesis no bibalanceada
|
|
|
|
|
CM Diente dorado incluido en la prótesis parcial
|
|
|
|
CM Prótesis parciales aceptables
|
|
|
|
CM Caries y placa bacteriana
|
|
|
|
CM Desgaste oclusal y caries cervical
|
|
|
|
CM Caries interproximales
|
|
|
|
|
CM Prótesis completa con mala oclusión
|
|
|
|
CM Prótesis fija metal-resina superior y PPR inferior. Mucha placa bacteriana
|
|
|
|
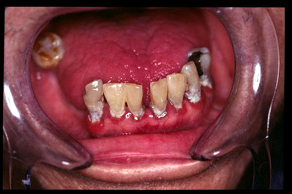
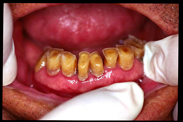
CM Caries de cuello por mala higiene
|
|
|
|
CM Prótesis nueva con mala higiene
|
|
|
|
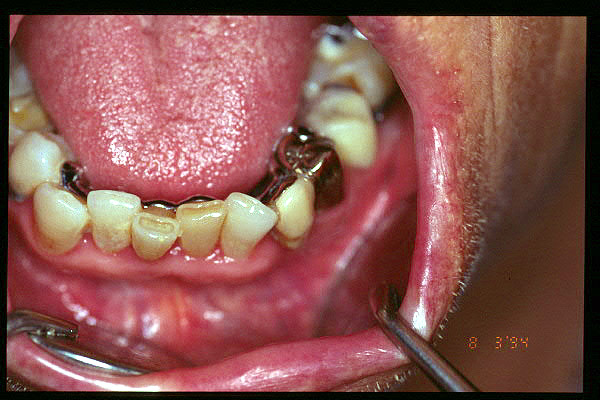
CM Prótesis bibalanceada
|
|
|
|
|
CM Estomatitis protésica
|
|
|
|
CM Edentulismo parcial. Restos radiculares. Placa bacteriana
|
|
|
|
CM Edentulismo parcial
|
|
|
|
CM Varices sublinguales
|
|
|
|
CM PPR superior e inferior en buen estado
|
|
|
|
|
CM Prótesis fija metálica
|
|
|
|
CM Prótesis fija y removible inferior
|
|
|
|
CM Doble labio inferior
|
|
|
|
CM Abundante placa bacteriana sobre prótesis completa
|
|
|
|
CM Resina fracturada
|
|
|
|
|
CM Leucoplasia
|
|
|
|
CM Desgaste por bruxismo
|
|
|
|
CM Presencia de placa
|
|
|
|
CM Edentulismo parcial, restos radiculares, caries y placa bacteriana
|
|
|
|
CM Edentulismo parcial, restos radiculares, caries y placa bacteriana
|
|
|
|
|
CM Edentulismo parcial, restos radiculares y caries
|
|
|
|
CM Edentulismo parcial, restos radiculares y caries
|
|
|
|
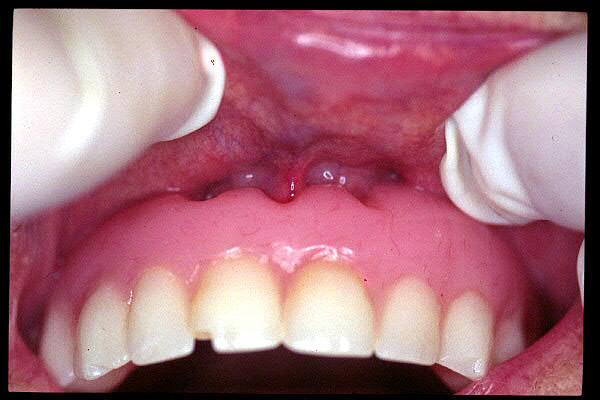
CM Hematomas por mordisqueo
|
|
|
|
CM Varices sublinguales
|
|
|
|
CM Hiperplasia por prótesis
|
|
|
|
|
CM Ulcera traumática
|
|
|
|
CM Lengua saburral
|
|
|
|
CM Nevus azul
|
|
|
|
CM Edentulismo parcial, restos radiculares, caries y placa bacteriana
|
|
|
|
CM Edentulismo parcial, restos radiculares, caries y placa bacteriana
|
|
|
|
|
CM Prótesis fija superior, obturaciones de cuello, edentulismo parcial
|
|
|
|
CM Enfermedad periodontal avanzada
|
|
|
|
CM Prótesis de 1950
|
|
|
|
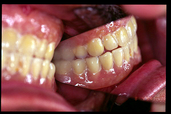
CM Oclusión clase III
|
|
|
|
CM Edentulismo parcial, restos radiculares y placa bacteriana
|
|
|
|
|
CM Edentulismo parcial y placa bacteriana
|
|
|
|
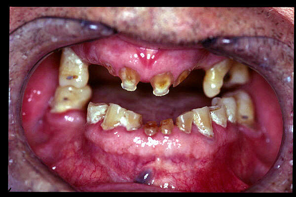
CM Caries y enfermedad periodontal avanzada
|
|
|
|
CM Caries y presencia de cálculo
|
|
|
|
CM Doble labio inferior por prótesis mal adaptada
|
|
|
|
CM Doble labio inferior por prótesis mal adaptada
|
|
|
|
|
CM Doble labio inferior por prótesis mal adaptada
|
|
|
|
CM Prótesis antigua con restos de placa
|
|
|
|
CM Ultimos dientes remanentes: los caninos
|
|
|
|
CM Edentulismo parcial, restos radiculares, caries y placa bacteriana
|
|
|
|
CM Edentulismo parcial, restos radiculares, caries y placa bacteriana
|
|
|
|
|
CM Mala higiene oral
|
|
|
|
CM Prótesis fija, placa bacteriana, enfermedad periodontal y caries
|
|
|
|
CM Edentulismo parcial, restos radiculares, caries y placa bacteriana
|
|
|
|
CM Enfermedad periodontal avanzada. Cálculos.
|
|
|
|
CM Puntos de Fordyce
|
|
|
|
|
CM Encía bamboleante
|
|
|
|
CM Doble labio inferior por prótesis mal ajustada
|
|
|
|
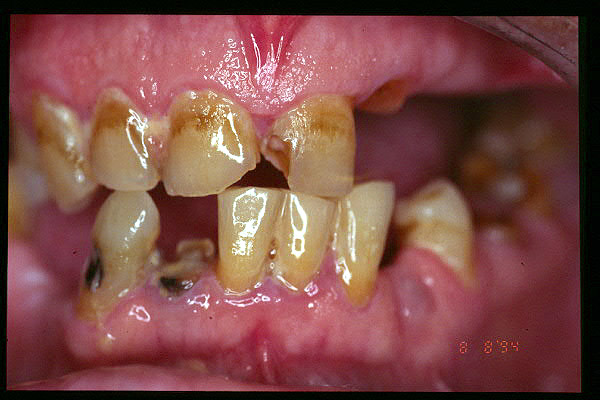
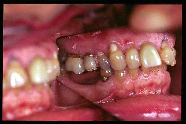
CM Mala higiene oral, caries y patología periodontal
|
|
|
|
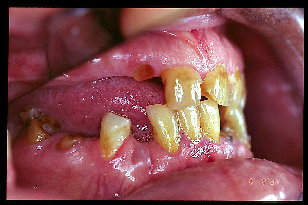
CM Unicos dientes remanentes: caninos superiores
|
|
|
|
CM Prótesis con ventosa
|
|
|
|
|
CM Prótesis con oclusión defectuosa
|
|
|
|
CM Edentulismo parcial, restos radiculares, caries y placa bacteriana
|
|
|
|
CM Edentulismo parcial, restos radiculares, caries y placa bacteriana
|
|
|
|
CM Hiperplasis por prótesis mal adaptada
|
|
|
|
CM Edentulismo parcial, restos radiculares, caries y placa bacteriana
|
|
|
|
|
CM Gingivitis por mala higiene oral
|
|
|
|
CM Gingivitis por mala higiene oral
|
|
|
|
CM Prótesis fija fracturada
|
|
|
|
CM Indentaciones por bruxismo
|
|
|
|
CM Edentulismo parcial, restos radiculares, caries y placa bacteriana
|
|
|
|
|
CM Prótesis en mal estado
|
|
|
|
CM Enfermedad periodontal avanzada con caries. Mala higiene.
|
|
|
|
CM Hiperplasia producida por una prótesis con efecto ventosa
|
|
|
|
CM Prótesis causante de la anterior hiperplasia
|
|
|
|
CM Lesión por prótesis
|
|
|
|
|
CM Prótesis parcial con restos de placa bacteriana
|
|
|
|
CM Prótesis parcial superior
|
|
|
|
CM Edentulismo parcial superior
|
|
|
|
CM Edentulismo parcial, restos radiculares, caries y placa bacteriana
|
|
|
|
CM Estomatitis por prótesis
|
|
|
|
|
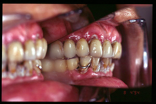
CM Extrusión de molar superior y premolares inferiores por falta de antagonista
|
|
|
|
CM Lengua saburral
|
|
|
|
CM Edentulismo parcial, restos radiculares, caries y placa bacteriana
|
|
|
|
CM Hiperplasia por prótesis mal adaptada
|
|
|
|
CM Doble labio inferior por prótesis mal adaptada
|
|
|
|
|
CM Prótesis fija de metal-resina
|
|
|
|
CM Prótesis completa superior con mala higiene
|
|
|
|
CM Reabsorción ósea posterior por pérdida prematura de dentición natural
|
|
|
|
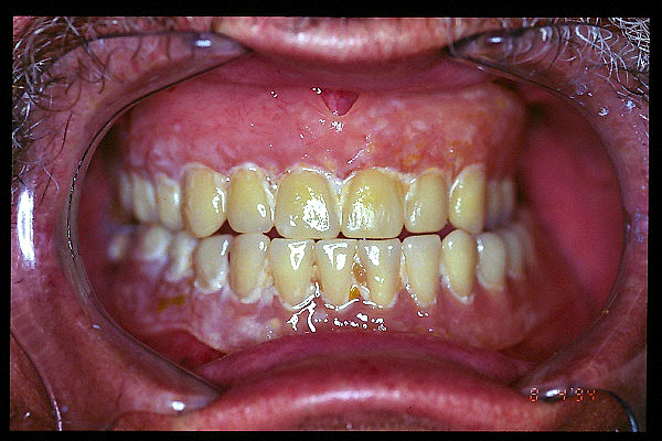
CM Irritación de paladar
|
|
|
|
CM Varices
|
|
|