|
|
|
Aftosis oral
|
|
|
|
Aftosis oral
|
|
|
|
Dermatitis crónica actínica
|
|
|
|
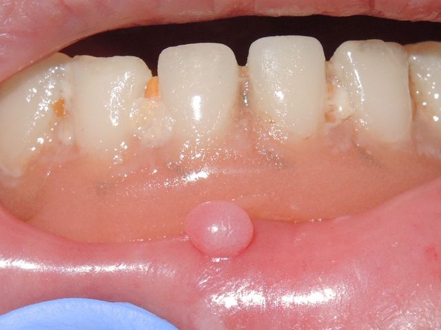
Lago venoso en el labio
|
|
|
|
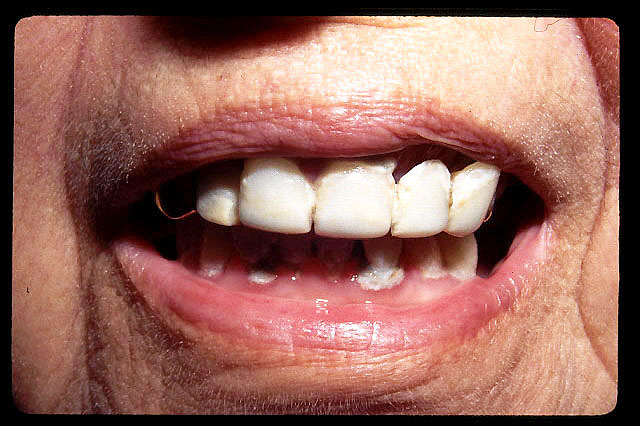
Disminución altura bucal, edéntula
|
|
|
|
|
Eritroplasia
|
|
|
|
Extracción de incisivo
|
|
|
|
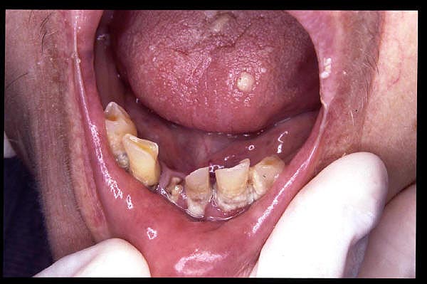
Glositis ferropénica
|
|
|
|
Glositis
|
|
|
|
Herpes zóster V par, rama mandibular
|
|
|
|
|
Herpes zóster V par, rama mandibular
|
|
|
|
Herpes zóster V par, rama mandibular
|
|
|
|
Lengua roja depapilada
|
|
|
|
Macroglosia
|
|
|
|
Prótesis, mala higiene
|
|
|
|
|
Piorrea, gingivitis
|
|
|
|
Piorrea, prótesis parcial
|
|
|
|
Piorrea, raíz dolorosa
|
|
|
|
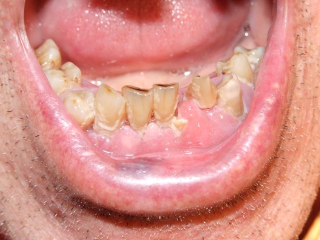
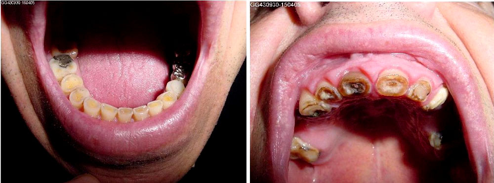
Piorrea
|
|
|
|
Piorrea
|
|
|
|
|
Queilitis angular.
|
|
|
|
Queilitis angular.
|
|
|
|
Queilitis angular
|
|
|
|
Queilitis por sequedad
|
|
|
|
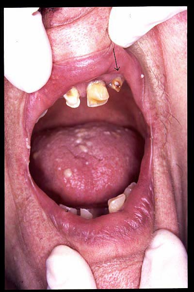
Raiz dolorosa de incisivo
|
|
|
|
|
Cáncer de labio
|
|
|
|
Cáncer de labio
|
|
|
|
Herpes zóster
|
|
|
|
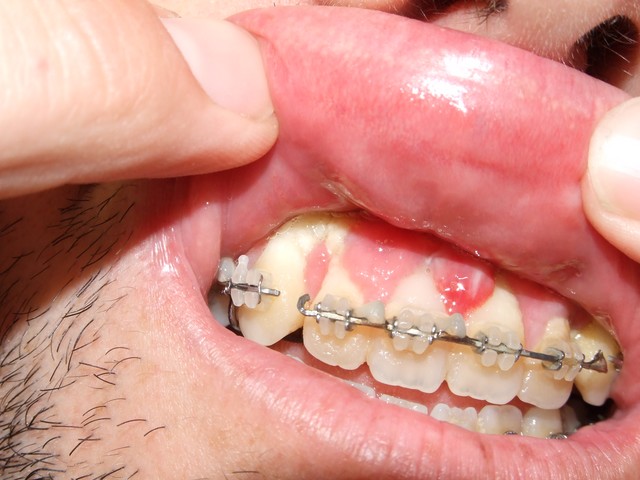
Parodontitis
|
|
|
|
Cáncer labial incipiente.
|
|
|
|
|
Vitíligo
|
|
|
|
Afta lingual
|
|
|
|
Distocia social. Piorrea.
|
|
|
|
JFC Glosis medicamentosa
|
|
|
|
JFC Hemangioma labial
|
|
|
|
|
Hemostasia
|
|
|
|
|
CM Fibroma en lengua
|
|
|
|
CM Hiperglosia
|
|
|
|
CM Lago venoso
|
|
|
|
|
CM Lago venoso
|
|
|
|
CM Lengua fisinada
|
|
|
|
CM Lengua fisinada
|
|
|
|
Edentulismo total. Pliegues en boca.
|
|
|
|
Caries cervicales. Abrasión dentaria.
|
|
|
|
|
Enfermedad de Muguet
|
|
|
|
JFC Carcinoma bucal teñido con violeta de genciana
|
|
|
|
JFC Lago venoso labial
|
|
|
|
Edentulismo completo. Disminución de diámetros.
|
|
|
|
Cáncer de labio evolucionado
|
|
|
|
|
E. de Steinert. Patología dentaria acompañante.
|
|
|
|
E. de Steinert. Ptosis labial.
|
|
|
|
Trauma labial interno por caída.
|
|
|
|
JFC Erosión dentaria por bruxismo
|
|
|
|
Dentición sana y cuidada. 75 años.
|
|
|
|
|
Neo de labio evolucionada.
|
|
|
|
Neo de suelo de boca. Detección.
|
|
|
|
Neo de suelo de boca en evolución. 1.
|
|
|
|
Neo de suelo de boca. situación prequirúrgica.1.
|
|
|
|
Neo de suelo de boca. situación prequirúrgica.2.
|
|
|
|
|
epitelioma de labio
|
|
|
|
Edema labial.
|
|
|
|
Edentulismo parcial. Infección periodontal. Caries.
|
|
|
|
Herpes labial.
|
|
|
|
Impétigo.
|
|
|
|
|
Macroglosia. Neo de laringe.
|
|
|
|
Macroglosia. Neo de laringe.
|
|
|
|
Macroglosia. Neo de laringe.
|
|
|
|
Macroglosia. Neo de laringe. Traqueostomizado y con SNG.
|
|
|
|
Macroglosia. Neo de laringe. Traqueostomizado y con SNG.
|
|
|
|
|
Neo en paladar
|
|
|
|
Neo en paladar
|
|
|
|
Glositis micótica.
|
|
|
|
Neo de labio
|
|
|
|
Neo de labio.
|
|
|
|
|
Neo de labio intervenida.
|
|
|
|
Neo de labio intervenida.
|
|
|
|
Dehiscencia de sutura en neo de labio.
|
|
|
|
Herpes labial.
|
|
|
|
Lengua negra vellosa.
|
|
|
|
|
Lengua negra vellosa.
|
|
|
|
Ulcera labial en fumador por posible neo de labio. Confirmada posteriormente a biopsia.
|
|
|
|
Cáncer de labio intervenido.
|
|
|
|
Cáncer de labio intervenido. Evolución.
|
|
|
|
Cáncer de labio intervenido. Evolución.
|
|
|
|
|
Afta lingual.
|
|
|
|
Afta lingual.
|
|
|
|
Lengua roja y depapilada en anemia.
|
|
|
|
Lengua roja en anemia ferropénica.
|
|
|
|
Trauma directo contra labio.
|
|
|
|
|
Necrosis mandibular por quimioterapia.
|
|
|
|
Necrosis mandibular por quimioterapia.
|
|
|
|
Fijaciones metálicas para prótesis
|
|
|
|
Piorrea. Cálculos.
|
|
|
|
Pigmentación labial no filiada.
|
|
|
|
|
IQ por neo de labio. Evolución.
|
|
|
|
JFC Papiloma velofaríngeo
|
|
|
|
Lengua geográfica. Micosis oral.
|
|
|
|
Cáncer de paladar blando.
|
|
|
|
Cáncer de paladar blando y micosis oral.
|
|
|
|
|
Resección de paladar blando en cáncer.
|
|
|
|
Angioma venoso labial.
|
|
|
|
Dificultades en la higiene oral de paciente con E.Huntington.
|
|
|
|
Necrosis mandibular.
|
|
|
|
Herida de labio con pérdida de sustancia y cirugía de aproximación.
|
|
|
|
|
Herida de labio con pérdida de sustancia y cirugía de aproximación.
|
|
|
|
Necrosis mandibular en tto con OHB.
|
|
|
|
Necrosis de encía tras cirugía máxilofacial. En tto con oxigenoterapia hiperbárica.
|
|
|
|
Necrosis de encía tras cirugía máxilofacial. En tto con oxigenoterapia hiperbárica (OHB).
|
|
|
|
Afta oral.
|
|
|
|
|
Neo de paladar en paciente con E.de Huntington.
|
|
|
|
Herpes labial.
|
|
|
|
Tumor perlado de labio
|
|
|