FotoGeriatría

Base de imágenes en Medicina Geriátrica

Coordinador:  Dr. B. López Oblaré.  Médico Especialista en Geriatría

 

Página principal     Introducción     Base de imágenes     Localización ANATÓMICA     Áreas ESPECIFICAS     Hipervínculos     Colaboradores     Contacto   



        

  

                                                      

 

Neuropatología

La sección específica de Neuropatología  la desarrolla de forma completa la Dra Inés Francés y la  Dra Mª Teresa Tuñón Alvarez.  

 

Alfa-sinucleína

Arteriosclerosis del Polígono de Willis

Beta-A4 en arteriolas corticales

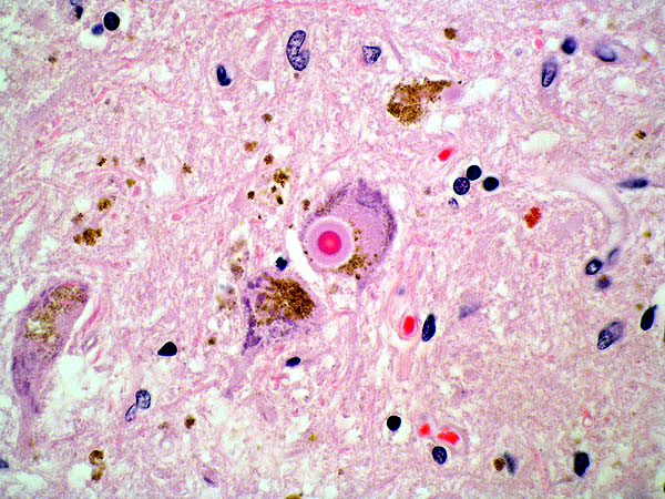
Cuerpo de Lewy en sustancia negra

Estado lacunar de ganglios de la base

Ovillos con proteína tau

Placas amiloides en corteza

Placas de ateroma