|
|
|
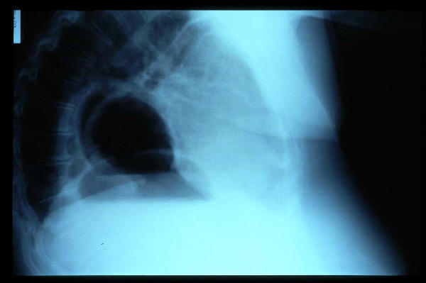
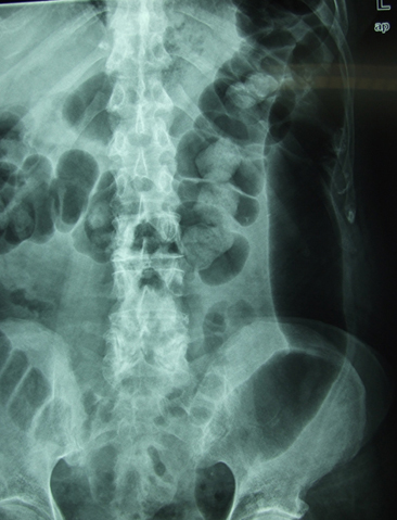
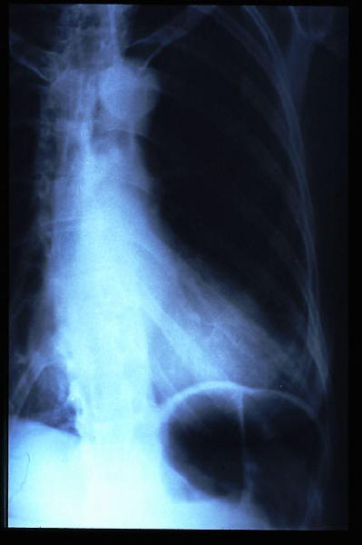
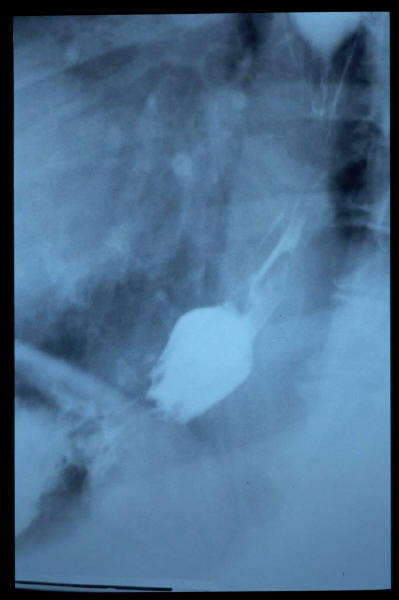
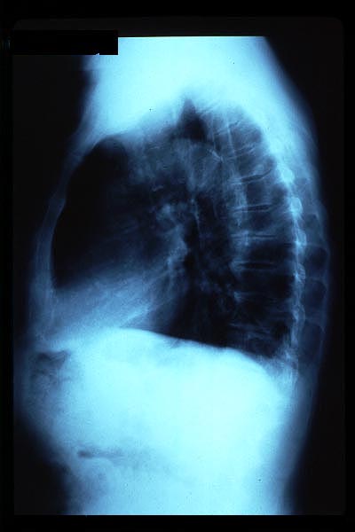
Aerofagia en TEGD.
|
|
|
|
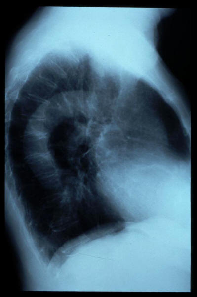
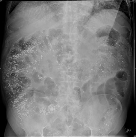
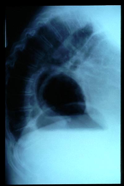
Aerofagia en TGED.
|
|
|
|
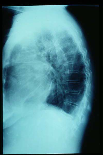
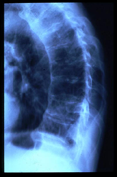
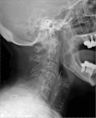
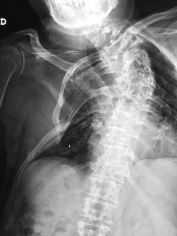
Artrosis cervical.
|
|
|
|
Calcificación de aórtica torácica.
|
|
|
|
Osteoporosis. Cifosis.
|
|
|
|
|
Deformidad torácica.
|
|
|
|
Quiste sinovial muñeca. Eco.
|
|
|
|
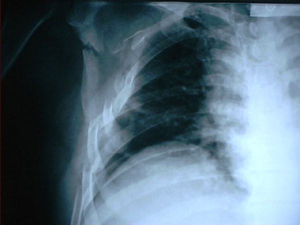
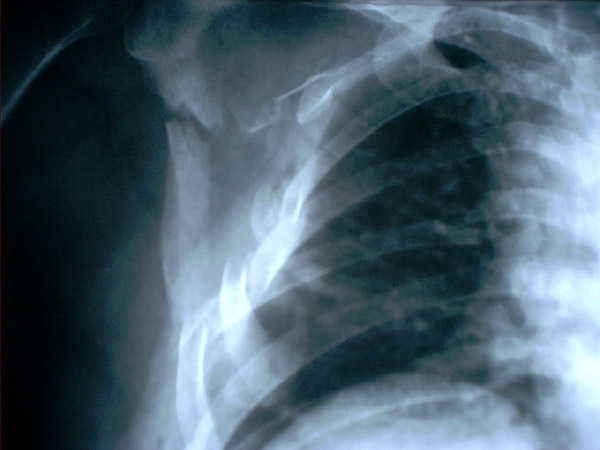
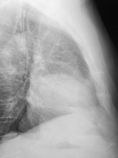
Fractura costal
|
|
|
|
Fractura costal por caída.
|
|
|
|
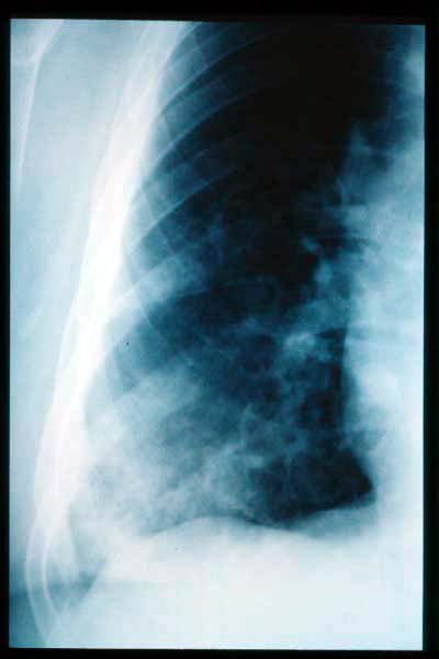
Paquipleuritis. Fractura costal.
|
|
|
|
|
Fractura cuello fémur. Prótesis completa.
|
|
|
|
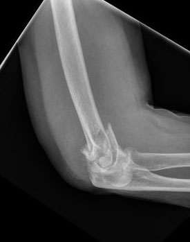
Fractura impactada de húmero .
|
|
|
|
Fractura intertrocantérea de fémur, osteosíntesis
|
|
|
|
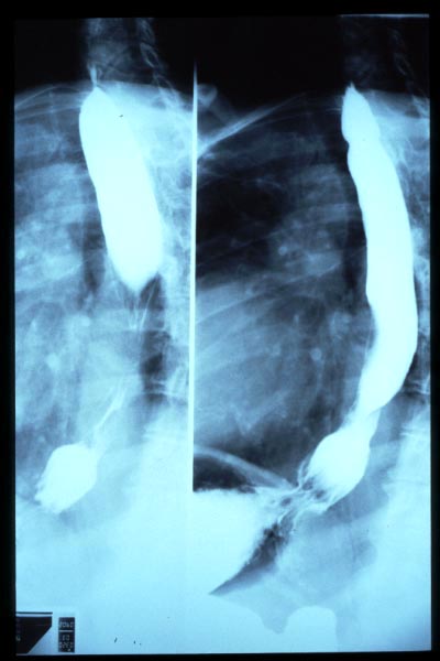
Hernia de hiato gigante.
|
|
|
|
Hernia de hiato gigante.
|
|
|
|
|
Hernia de hiato por deslizamiento al TGED.
|
|
|
|
Hernia de hiato por deslizamiento al TEGD.
|
|
|
|
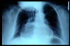
Fibrosis pulmonar. ICC.
|
|
|
|
Fibrosis pulmonar. ICC.
|
|
|
|
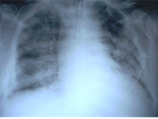
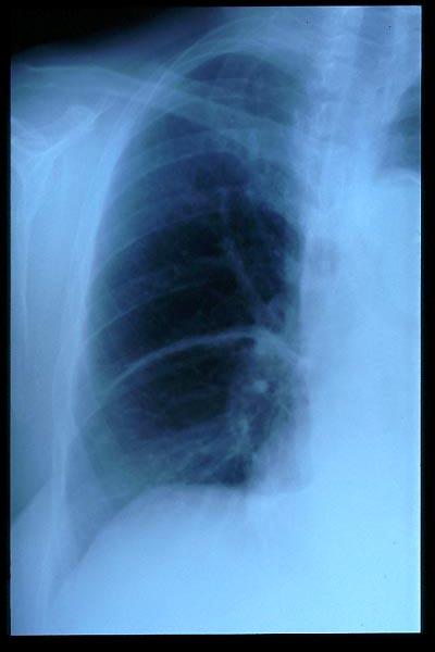
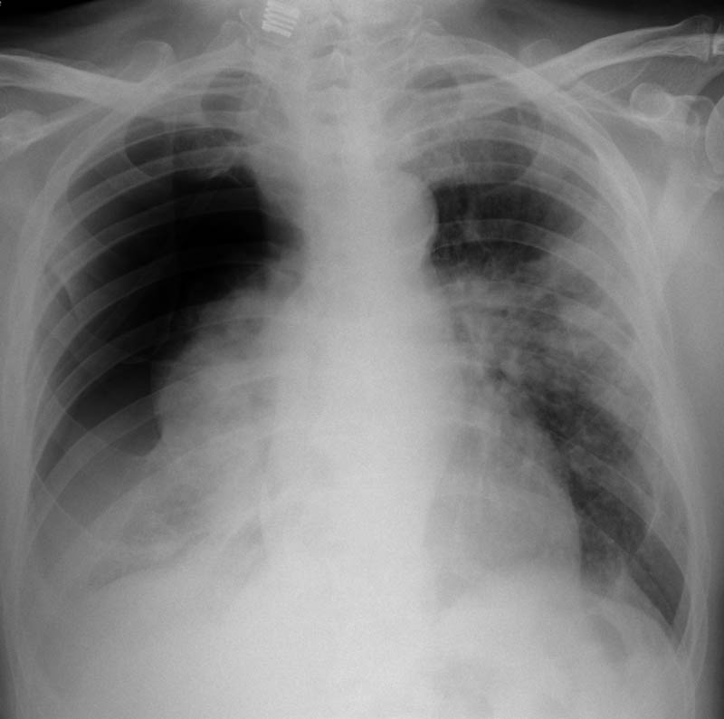
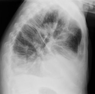
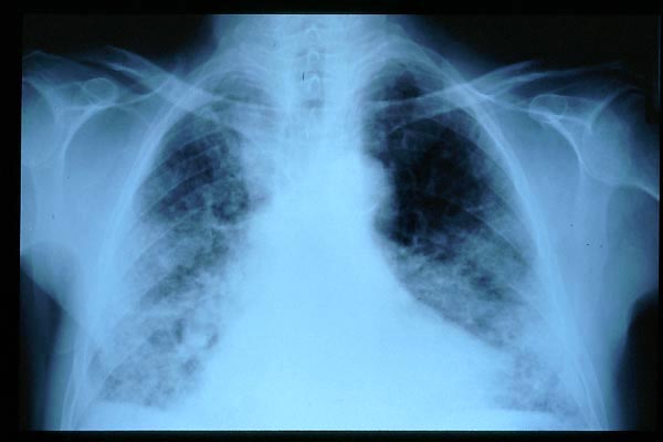
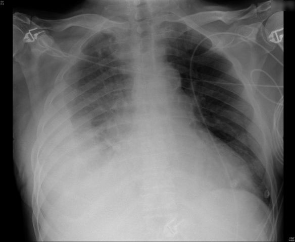
Neumonia basal derecha.
|
|
|
|
|
Neumonía basal derecha.
|
|
|
|
Atelectasia lóbulo medio.
|
|
|
|
Osteoporosis. Cifosis.
|
|
|
|
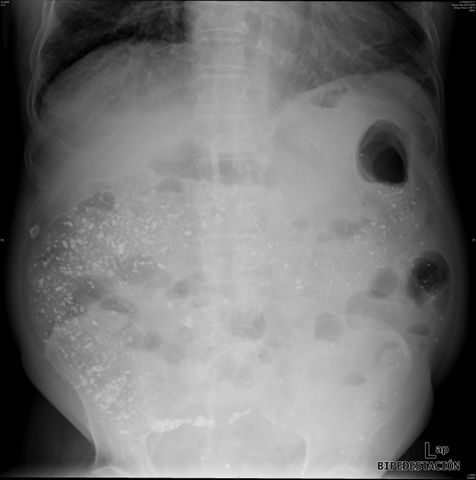
Dilatación gástrica.
|
|
|
|
Diverticulosis de colon.
|
|
|
|
|
Diverticulosis de colon. Megacolon.
|
|
|
|
Dolico-megacolon.
|
|
|
|
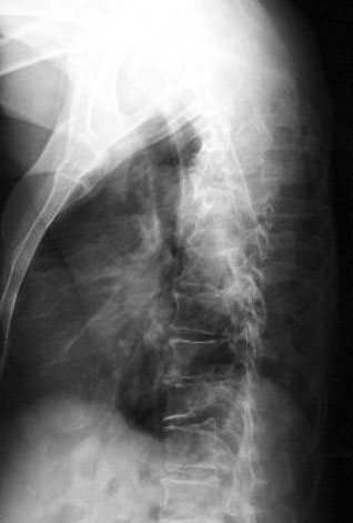
Escoliosis. Espondilolistesis.
|
|
|
|
Estómago en cascada al TEGD.
|
|
|
|
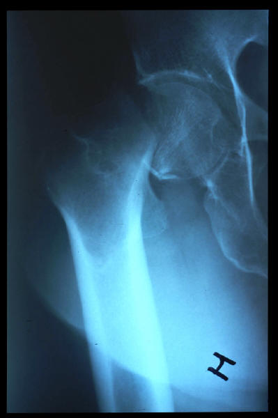
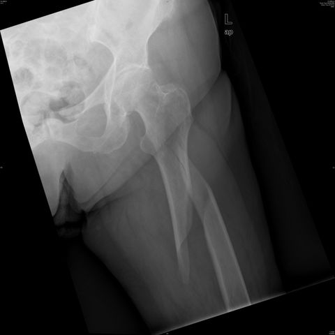
Fractura de cuello de fémur.
|
|
|
|
|
Fractura de fémur, osteosíntesis
|
|
|
|
Hernia de hiato
|
|
|
|
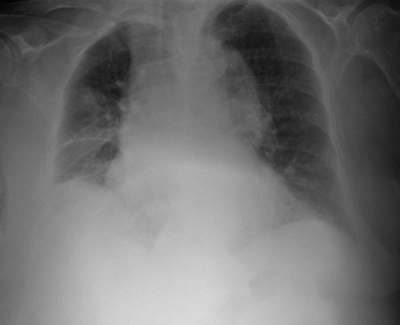
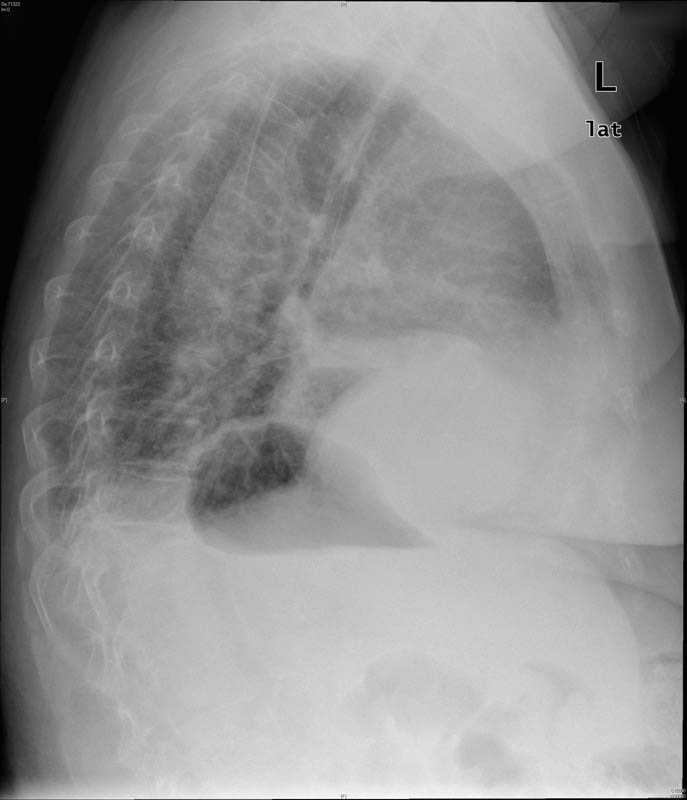
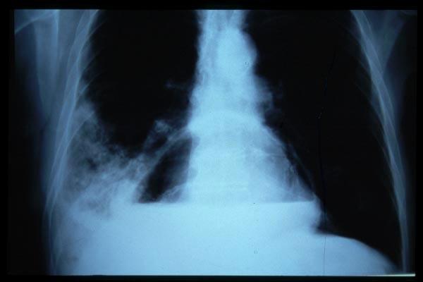
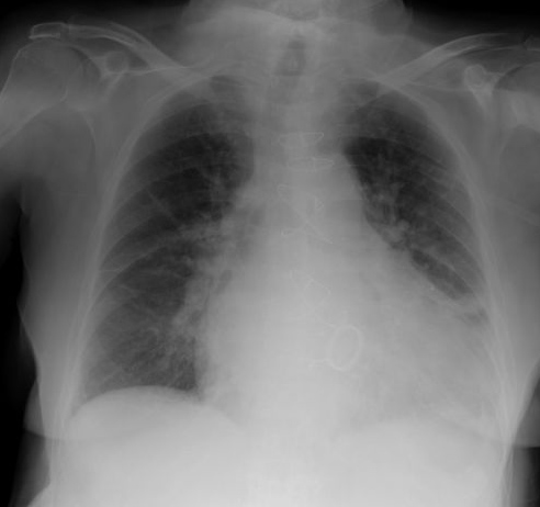
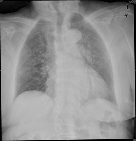
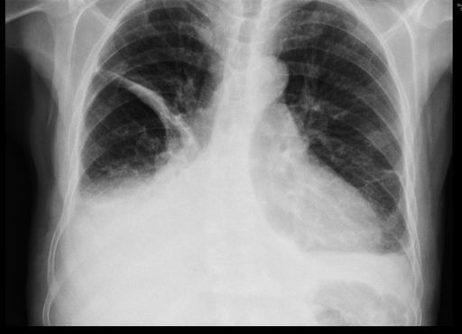
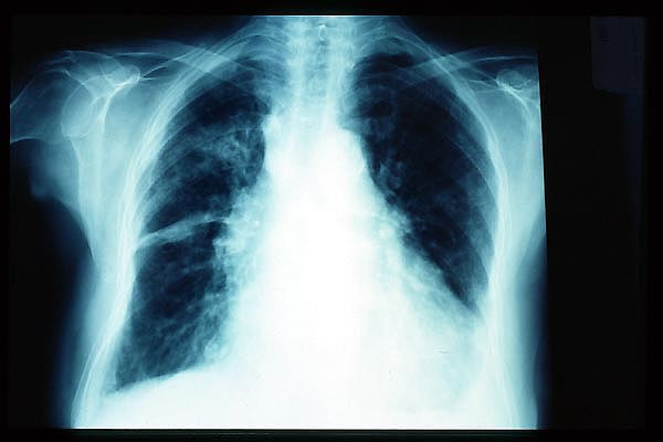
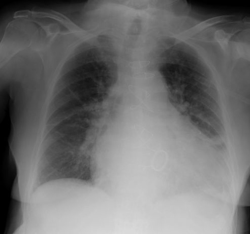
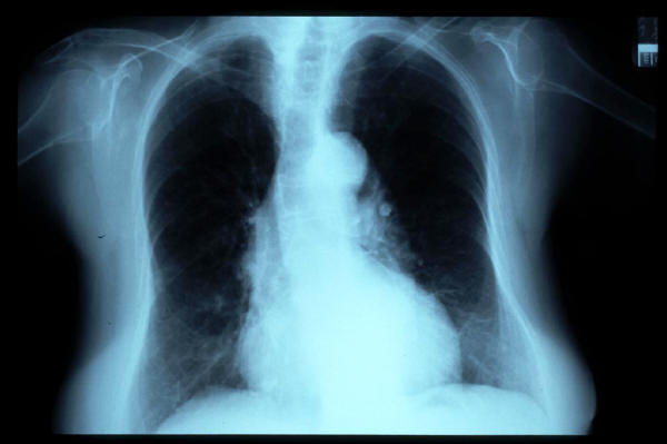
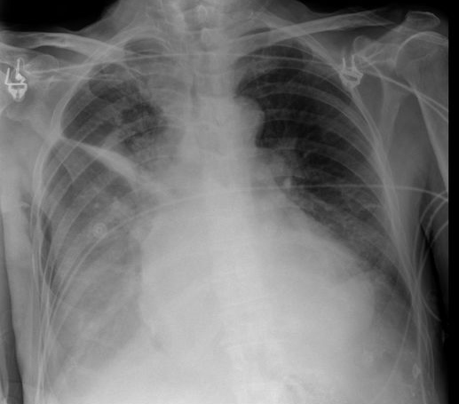
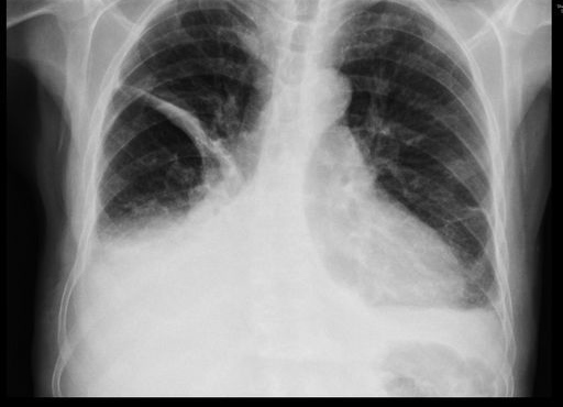
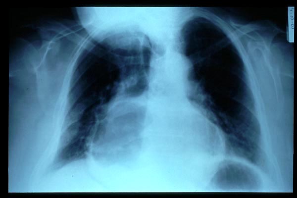
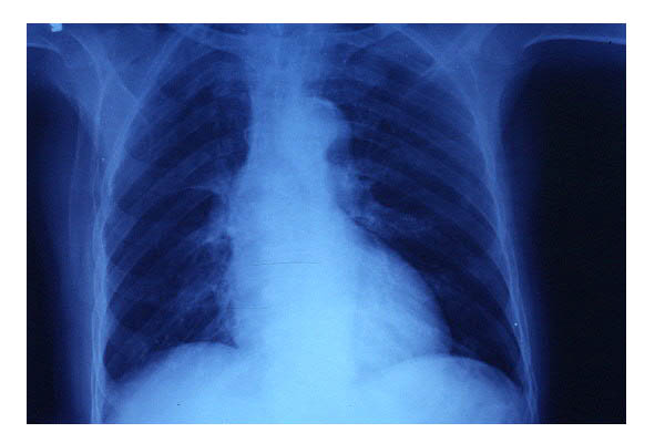
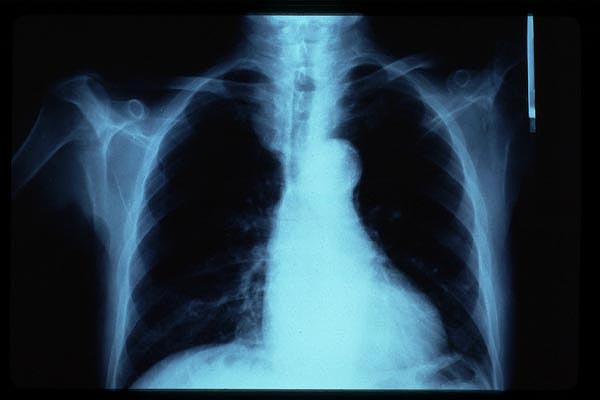
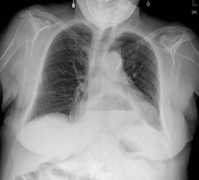
Cardiomegalia. ICC.
|
|
|
|
Artrosis lumbar con pinzamiento.
|
|
|
|
Fractura de fémur, prótesis parcial de cadera
|
|
|
|
|
Artrosis lumbar
|
|
|
|
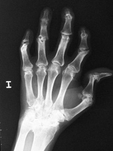
Carpo normal
|
|
|
|
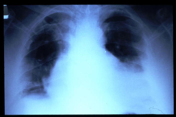
EAP
|
|
|
|
EAP
|
|
|
|
Edema cisural en EAP
|
|
|
|
|
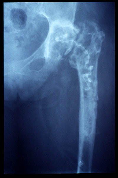
E de Paget
|
|
|
|
E de Paget
|
|
|
|
Escoliosis, artrosis, aplastamiento...
|
|
|
|
Fractura de húmero, intensa desviación de fragmentos
|
|
|
|
Fractura de húmero, intensa desviación de fragmentos
|
|
|
|
|
Fractura vertebral, aplastamiento
|
|
|
|
Hernia de hiato, nivel HA
|
|
|
|
Hernia de hiato
|
|
|
|
Hernia de hiato
|
|
|
|
Hernia de hiato
|
|
|
|
|
Ondas terciarias, HH
|
|
|
|
Higroma frontal bilateral
|
|
|
|
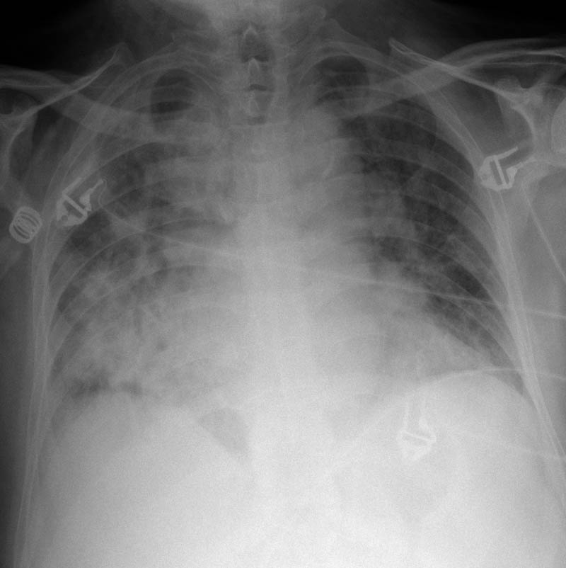
Marcapasos
|
|
|
|
Neumonía basal derecha
|
|
|
|
osteosíntesis fractura fémur
|
|
|
|
|
Osteosíntesis fractura fémur
|
|
|
|
Sistema ureterocalicial doble
|
|
|
|
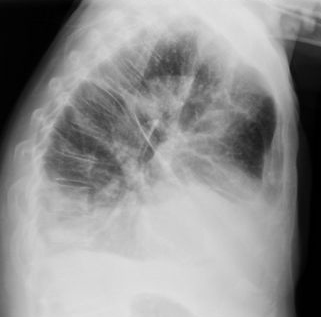
TBC pulmonar antigua
|
|
|
|
TBC pulmonar antigua
|
|
|
|
TBC pulmonar antigua
|
|
|
|
|
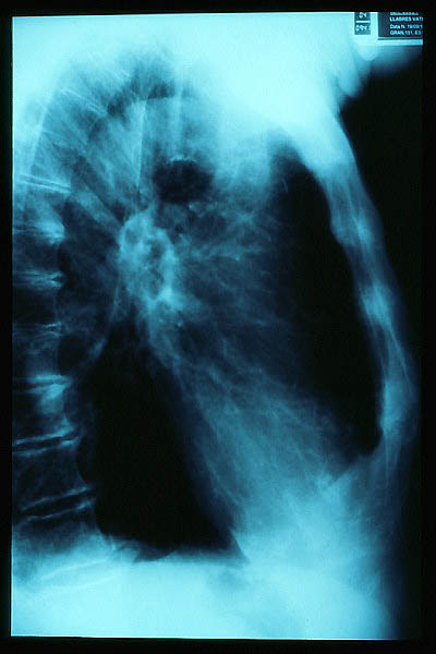
Tumoración mediastínica
|
|
|
|
Tumoración mediastínica
|
|
|
|
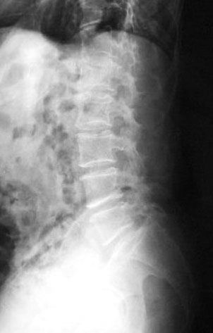
Acuñamiento vertebral traumático
|
|
|
|
Aplastamiento vertebral. Gas. Osteoporosis.
|
|
|
|
Aplastamiento vertebral. Osteoporosis.
|
|
|
|
|
Artrosis cervical
|
|
|
|
Densitometría en calcáneo
|
|
|
|
Densitometría en calcáneo
|
|
|
|
Fractura distal de clavícula
|
|
|
|
MO cervicoartrosis
|
|
|
|
|
Calcificación aórtica
|
|
|
|
Calcificación aórtica
|
|
|
|
Artrosis avanzada de cadera. Anquilosis.
|
|
|
|
APR Arrancamiento de epífisis distal
|
|
|
|
APR artrodesis
|
|
|
|
|
APR Bronquiectasias
|
|
|
|
APR Cálculo renal coraliforme
|
|
|
|
APR Cervicoartrosis
|
|
|
|
APR Condrosarcoma
|
|
|
|
APR Derrame pleural derecho
|
|
|
|
|
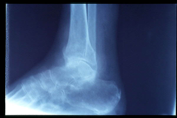
APR Fractura bimaleolar de tobillo
|
|
|
|
APR Fractura de pelvis
|
|
|
|
APR Fractura de peroné
|
|
|
|
APR Fractura tibial
|
|
|
|
APR Geodas metastásicas
|
|
|
|
|
APR Gonartrosis
|
|
|
|
APR Insuficiencia cardiaca
|
|
|
|
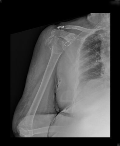
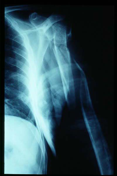
APR Luxación de hombro
|
|
|
|
APR Metástasis torácicas
|
|
|
|
APR Osteoporosis
|
|
|
|
|
APR Patrón fibroso antiguo
|
|
|
|
APR Retracción mediastínica
|
|
|
|
Fractura de cuello de fémur
|
|
|
|
ECO cálculos en vías biliares
|
|
|
|
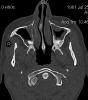
TC exostosis occipital congénica.
|
|
|
|
|
TC exostosis occipital congénita.
|
|
|
|
Fractura de cuello de fémur con tornillos de tracción
|
|
|
|
Prótesis parcial de cadera
|
|
|
|
Fractura de huesos propios de la nariz.
|
|
|
|
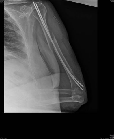
Fractura de húmero.
|
|
|
|
|
Fractura de húmero.
|
|
|
|
Fractura maleolo externo. Osteosíntesis.
|
|
|
|
Fractura maleolo externo. Osteosíntesis.
|
|
|
|
Prótesis completa de rodilla. Situación postquirúrgica.
|
|
|
|
Prótesis completa de rodilla. Situación postquirúrgica. Lateral.
|
|
|
|
|
Prótesis completa de rodilla.Lateral.
|
|
|
|
Prótesis completa de rodilla. Frontal.
|
|
|
|
Prótesis completa bilateral de rodillas.
|
|
|
|
IP Artrodesis por lumboartrosis y laminectomía
|
|
|
|
IP Artrodesis por lumboartrosis y laminectomía
|
|
|
|
|
Calcificación de vasos poplíteos.
|
|
|
|
Condensación en base izquierda.
|
|
|
|
Hernia de hiato gigante.
|
|
|
|
Hernia de hiato gigante.
|
|
|
|
Artrosis anquilosante de cadera.
|
|
|
|
|
MO Colecistitis aguda.
|
|
|
|
MO Distres respiratorio del adulto por trauma.
|
|
|
|
MO Ectasia pielocalicial.
|
|
|
|
MO Fractura de omóplato y de costillas 2 a 8 derechas. Accidente de tráfico con moto en paciente centenaria. 1
|
|
|
|
MO Fractura de omóplato y de costillas 2 a 8 derechas. Accidente de tráfico con moto en paciente centenaria.2
|
|
|
|
|
MO Globo vesical y hematuria.
|
|
|
|
MO Neumotórax por contusión.
|
|
|
|
Atrosis avanzada de cadera.
|
|
|
|
Calcificación del sifón carotídeo.
|
|
|
|
Hernia de hiato.
|
|
|
|
|
Hernia de hiato.
|
|
|
|
Osteoporosis circunscrita en Enfermedad de Paget.
|
|
|
|
Osteoporosis circunscrita en Enfermedad de Paget.
|
|
|
|
Prótesis completa de rodilla. Perfil.
|
|
|
|
Prótesis completa de rodilla. Frente.
|
|
|
|
|
MO Distrés respiratorio del adulto
|
|
|
|
Fractura compleja de húmero.
|
|
|
|
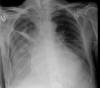
Neumonía basal.
|
|
|
|
Prótesis de cadera.
|
|
|
|
ACT Alteraciones degenerativas en muñeca.
|
|
|
|
|
ACT Artrodesis tras rizartrosis.
|
|
|
|
ACT artrosis muy severa de codo.
|
|
|
|
ACT calcificaciones por epicondilitis cronica.
|
|
|
|
Cardiomegalia.
|
|
|
|
Cardiomegalia.
|
|
|
|
|
ACT espolón calcáneo y microcalcificaciones.
|
|
|
|
ACT espolones varios por enfermedad reumática.
|
|
|
|
ACT espolones calcáneos.
|
|
|
|
ACT exostosis superior e inferior de rótula.
|
|
|
|
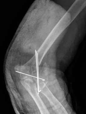
Fractura de olécranon con osteosíntesis.
|
|
|
|
|
Fractura de olécranon con osteosíntesis.
|
|
|
|
Fractura de olécranon con osteosíntesis.
|
|
|
|
E. Steinert. colon descendente en abdomen simple.
|
|
|
|
ACT ganmagrafía de osteonecrosis de rodilla.
|
|
|
|
ACT hemangioma a nivel vertebral.
|
|
|
|
|
JFC cuerpo extraño en laringe. hueso de pavo.
|
|
|
|
E. Steinert. dilatación de colon descendente. abdomen simple.
|
|
|
|
ACT calcificación del tendón de Aquiles.
|
|
|
|
ACT Osificacion metatraumatica paracondilea interna de rodilla. E. Pellegrini Stieda perfil.
|
|
|
|
ACT osificacion metatraumatica paracondilea interna de rodilla Pellegrini Stieda perfil
|
|
|
|
|
ACT Osteocondritis disecante en art subastragalina. TAC.
|
|
|
|
ACT Osteonecrosis en astrágalo. TAC.
|
|
|
|
ACT Osteonecrosis de la cúpula astragalina por afectación vascular.
|
|
|
|
ACT Osteonecrosis de rodilla, fase 3.
|
|
|
|
ACT Osteonecrosis de rodilla , fase 2.
|
|
|
|
|
ACT Osteonecrosis de rodilla operada con injerto y tornillo.
|
|
|
|
ACT Prótesis completa de codo.
|
|
|
|
ACT Prótesis completa de codo.
|
|
|
|
ACT Prótesis de hallux en artrosis.
|
|
|
|
ACT Prótesis de hallux. Perfil.
|
|
|
|
|
ACT Prótesis unicondilar de rodilla.
|
|
|
|
ACT Osteonecrosis de rodilla. RM.
|
|
|
|
ACT Osteonecrosis de rodilla. RM.
|
|
|
|
ACT Osteonecrosis en la cúpula astragalina por afectación vascular. RM.
|
|
|
|
ACT Rótula bipartita de perfil.
|
|
|
|
|
ACT Pie zambo a los 68 años de edad.
|
|
|
|
ACT Pseudoartrosis de rótula y exostosis.
|
|
|
|
Artritis psoriásica y falange bífida.
|
|
|
|
Artritis psoriásica.
|
|
|
|
Artritis psoriásica y falange bífida.
|
|
|
|
|
Artritis psoriásica.
|
|
|
|
Artritis psoriásica.
|
|
|
|
Escoliosis congénita.
|
|
|
|
Escoliosis congénita.
|
|
|
|
Escoliosis congénita.
|
|
|
|
|
Escoliosis congénita.
|
|
|
|
Escoliosis congénita.
|
|
|
|
Falange distal de dedo 1º de mano, bífida.
|
|
|
|
Falange distal de dedo 1º de mano, bífida.
|
|
|
|
Osteofitos gigantes en artrosis lumbar.
|
|
|
|
|
MqO Condensación pulmonar derecha por neo y neumonía añadida. Cálculo coraliforme izquierdo.
|
|
|
|
Fractura de húmero tras tratamiento conservador. Anquilosis.
|
|
|
|
Fractura de húmero tras tratamiento conservador. Anquilosis.
|
|
|
|
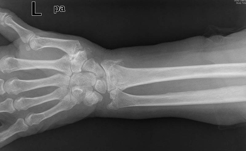
Fractura de radio.
|
|
|
|
Fractura distal de clavícula.
|
|
|
|
|
Fractura distal de clavícula.
|
|
|
|
Fractura de húmero.
|
|
|
|
Fractura de húmero.
|
|
|
|
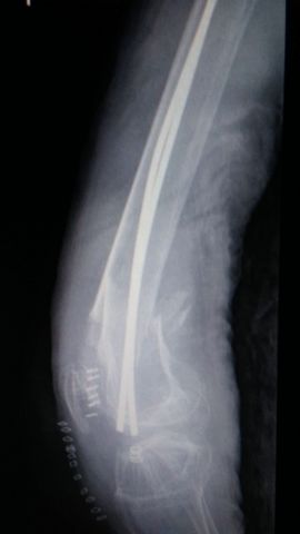
Fractura de húmero tras osteosíntesis.
|
|
|
|
JFC Aticitis colesteatomatosa.
|
|
|
|
|
JFC Carcinoma adenoide quístico.
|
|
|
|
JFC Cirugía endoscópica funcional.
|
|
|
|
JFC Colesteatoma dehiscente.
|
|
|
|
JFC Etmoiditis bilateral
|
|
|
|
JFC Sinusitis maxilar. Espolón septal.
|
|
|
|
|
JFC Sinusitis maxilar. Espolón septal.
|
|
|
|
JFC Sinusitis Maxilar
|
|
|
|
Fecolitos en placa de abdomen.
|
|
|
|
Insuficiencia cardiaca.
|
|
|
|
Desplazamiento de rótulas por genu valgo.
|
|
|
|
|
Fractura de radio tras caída casual.
|
|
|
|
Fractura de radio tras caída casual.
|
|
|
|
ICC
|
|
|
|
ICC
|
|
|
|
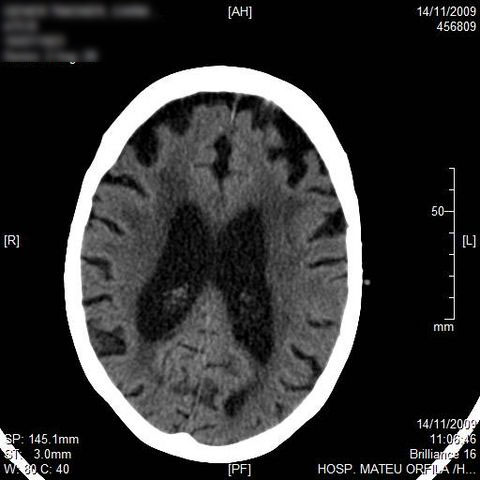
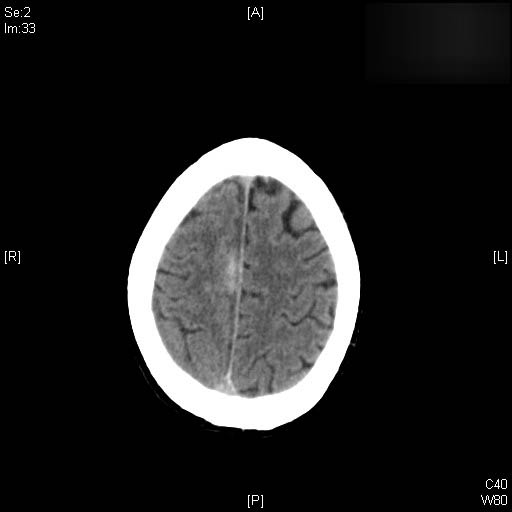
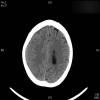
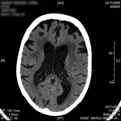
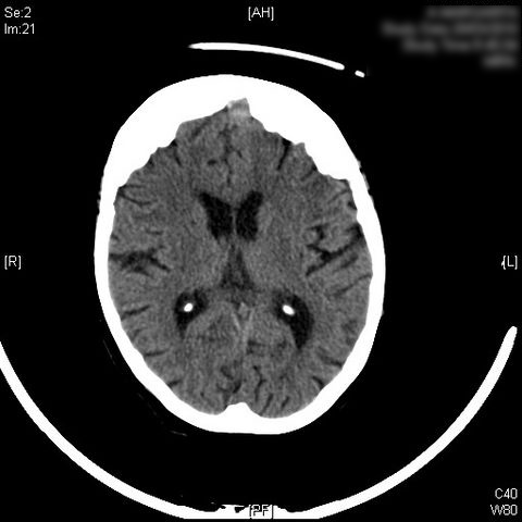
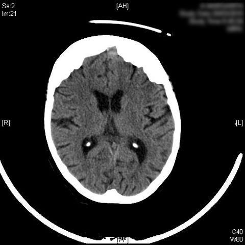
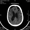
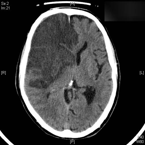
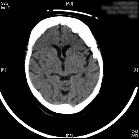
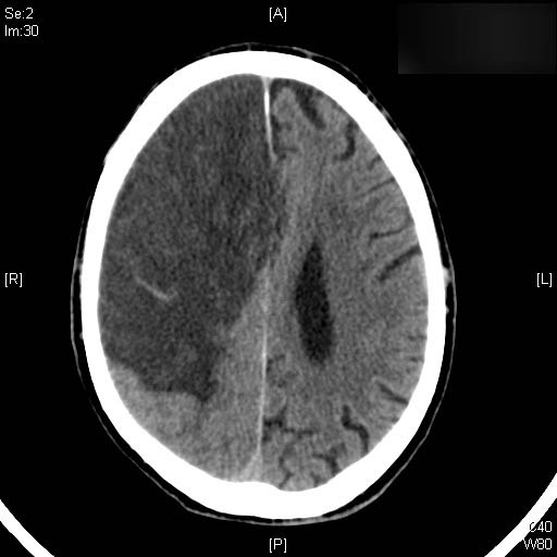
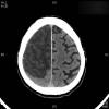
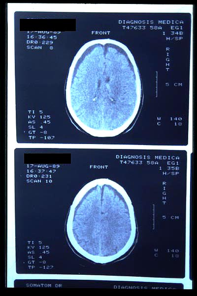
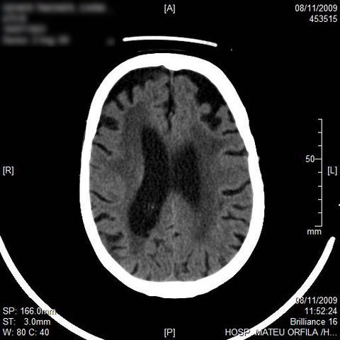
AVC amplio de territorio de A. cerebral media
|
|
|
|
|
AVC amplio de territorio de A. cerebral media
|
|
|
|
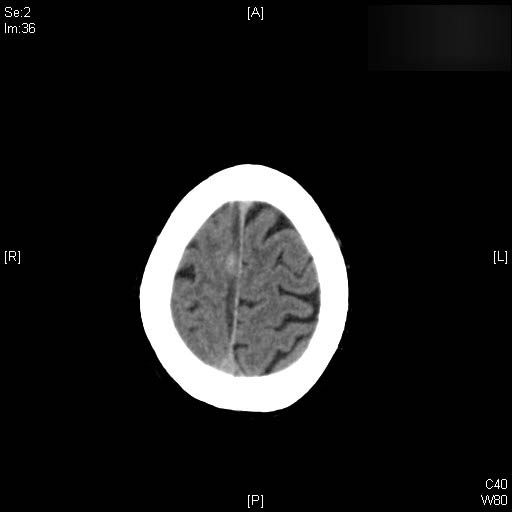
AVC amplio de territorio de A. cerebral media
|
|
|
|
Fractura de Colles.
|
|
|
|
Fractura de Colles.
|
|
|
|
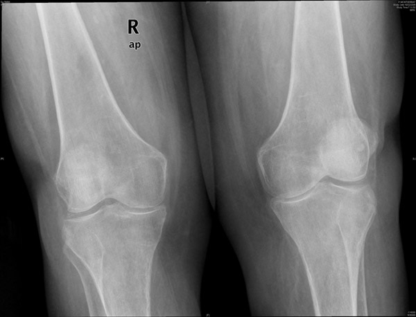
Artrosis femoro-patelar.
|
|
|
|
|
Artrosis femoro-patelar.
|
|
|
|
Artrosis femoro-patelar.
|
|
|
|
Nivel hidroaéreo en hernia de hiato gigante.
|
|
|
|
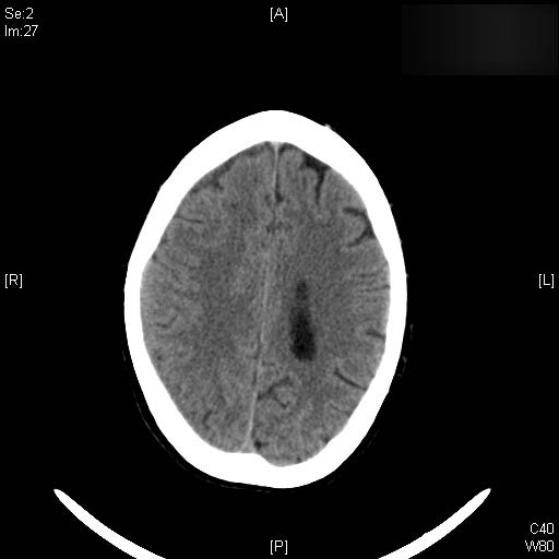
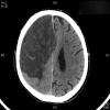
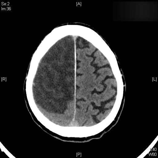
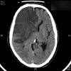
Hematoma subdural por caída.
|
|
|
|
Hematoma subdural por caída.
|
|
|
|
|
Hematoma subdural por caída.
|
|
|
|
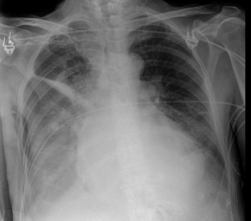
Neoplasia de pulmon izquierdo y neumonia derecha. Neumotórax secundario.
|
|
|
|
Neumonía con EAP.
|
|
|
|
Suboclusión intestinal.
|
|
|
|
Suboclusión intestinal.
|
|
|
|
|
Suboclusión intestinal.
|
|
|
|
Gas intracraneal por fractura de esfenoides.
|
|
|
|
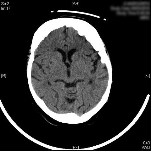
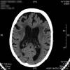
Atrofia cortico-subcortical de predominio frontotemporal.
|
|
|
|
Atrofia cortico-subcortical de predominio frontotemporal.
|
|
|
|
Atrofia cortico-subcortical de predominio frontotemporal.
|
|
|
|
|
Atrofia cortico-subcortical de predominio frontotemporal.
|
|
|
|
Deformidad de cúbito tras fracturas acumuladas
|
|
|
|
Deformidad de cúbito. fracturas acumuladas.
|
|
|
|
Dilatación colónica. Diverticulosis.
|
|
|
|
Fractura de diáfisis de húmero.
|
|
|
|
|
Fractura de húmero tras osteosíntesis con clavo gamma.
|
|
|
|
Fractura de húmero tras osteosíntesis con clavo gamma.
|
|
|
|
Fractura de húmero tras osteosíntesis con clavo gamma.
|
|
|
|
Fractura de radio.
|
|
|
|
Fractura de radio.
|
|
|
|
|
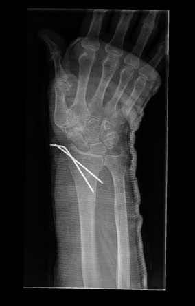
Tratamiento de fractura de radio con agujas.
|
|
|
|
Tratamiento con agujas de fractura de radio.
|
|
|
|
Tratamiento con agujas de fractura de radio.
|
|
|
|
Fractura subcapital de húmero.
|
|
|
|
Litiasis biliar.
|
|
|
|
|
Neumonía abscesificada.
|
|
|
|
Suboclusión intestinal.
|
|
|
|
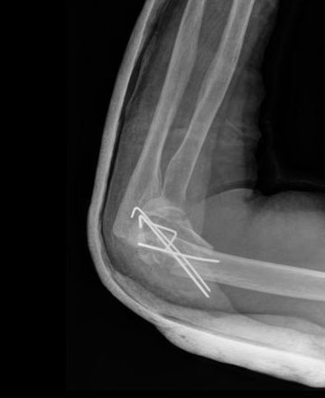
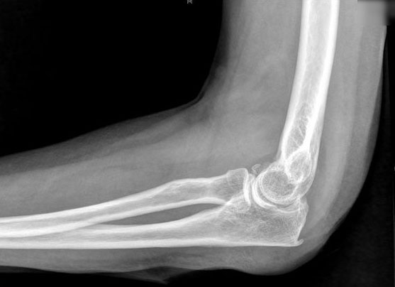
Fractura supracondílea de codo.
|
|
|
|
Fractura supracondílea de codo.
|
|
|
|
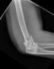
Fractura supracondílea de codo.Tras reducción y osteosíntesis.
|
|
|
|
|
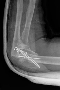
Fractura supracondílea de codo. Tratamiento con agujas.
|
|
|
|
Fractura supracondílea de codo. Tratamiento con agujas.
|
|
|
|
Cisuritis
|
|
|
|
Cisuritis
|
|
|
|
Cisuritis
|
|
|
|
|
Fecalomas.
|
|
|
|
Hiperostosis craneal.
|
|
|
|
Hiperostosis craneal.
|
|
|
|
Luxación de prótesis de cadera.
|
|
|
|
Oclusión intestinal.
|
|
|
|
|
Prótesis valvular aórtica.
|
|
|
|
Cisuritis.
|
|
|
|
Cisuritis.
|
|
|
|
Cisuritis.
|
|
|
|
Fecaloma.
|
|
|
|
|
Retención importante de heces con suboclusión intestinal.
|
|
|
|
Retención importante de heces con suboclusión intestinal.
|
|
|
|
Hiperostosis craneal.
|
|
|
|
Hiperostosis craneal.
|
|
|
|
Luxación de prótesis de cadera.
|
|
|
|
|
Oclusión intestinal.
|
|
|
|
Prótesis de válvula aórtica.
|
|
|
|
Fractura de tercio distal de fémur.
|
|
|
|
Osteosíntesis en fractura distal de fémur.
|
|
|
|
Osteosíntesis en fractura distal de fémur.
|
|
|