|
|
|
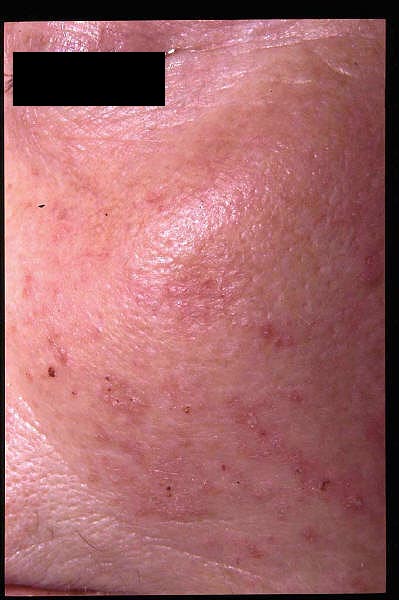
Dermatitis a producto cosmético
|
|
|
|
Dermatitis a producto cosmético
|
|
|
|
Paresia de III par craneal derecho. Mirada desviada hacia afuera.
|
|
|
|
Agresión facial con uñas
|
|
|
|
Agresión facial con uñas
|
|
|
|
|
Arteritis temporal
|
|
|
|
Arteritis temporal
|
|
|
|
Arteritis temporal
|
|
|
|
Arteritis temporal
|
|
|
|
Calvicie en mujer
|
|
|
|
|
Trauma facial
|
|
|
|
Trauma facial
|
|
|
|
Trauma facial
|
|
|
|
Cirugía maxilofacial por epitelioma
|
|
|
|
Cuerno cutáneo por epitelioma espinocelular. Queratosis solar.
|
|
|
|
|
Dermatitis crónica actínica
|
|
|
|
Epitelioma intervenido y curado
|
|
|
|
Epitelioma intervenido con bisturí eléctrico
|
|
|
|
Epitelioma
|
|
|
|
Herida cuero cabelludo
|
|
|
|
|
Herpes zóster V par, primera rama
|
|
|
|
Herpes zóster V par, segunda rama
|
|
|
|
Herpes zóster V par, primera rama
|
|
|
|
Heres zóster
|
|
|
|
Herpes zóster V par, tercera rama
|
|
|
|
|
Herpes zóster V par, tercera rama
|
|
|
|
Herpes zóster V par, primera rama
|
|
|
|
Quiste sebáceo cuero cabelludo
|
|
|
|
Quiste sebáceo
|
|
|
|
Sarna
|
|
|
|
|
Scalp cuero cabelludo
|
|
|
|
Scalp, retirada de puntos
|
|
|
|
Scalp suturado
|
|
|
|
Trauma facial
|
|
|
|
Trauma facial
|
|
|
|
|
Traumatismo en frente
|
|
|
|
Tumor de parótida
|
|
|
|
Tumor de parótida
|
|
|
|
Epitelioma basocelular
|
|
|
|
Epitelioma espinocelular en frente
|
|
|
|
|
Epitelioma tras quimio local
|
|
|
|
Ictiosis lamelar
|
|
|
|
Lipoma
|
|
|
|
Vasculitis por fármacos
|
|
|
|
Vitíligo
|
|
|
|
|
E. de Alzheimer. Ansiedad.
|
|
|
|
Demencia. Movimientos oro-linguales
|
|
|
|
Distocia social. Ausencia de higiene
|
|
|
|
Distocia social. Ausencia de higiene.
|
|
|
|
Eczema seborreico. Respuesta a jabón.
|
|
|
|
|
Eczema seborreico
|
|
|
|
Eczema seborreico
|
|
|
|
Queratosis tras 15 días con quimioterapia local. Ulceración.
|
|
|
|
Herida en cabeza. Sutura.
|
|
|
|
Herida cara. Accidente de tráfico
|
|
|
|
|
Oligofrenia
|
|
|
|
Demencia. Movimientos oro-linguales
|
|
|
|
Enfermedad de Paget
|
|
|
|
Resultado estético tras quimioterapia local en queratosis
|
|
|
|
Trauma facial por caída
|
|
|
|
|
JFC Trauma nasal, anticoagulación.
|
|
|
|
Cáncer de amígdala
|
|
|
|
Cáncer de amígdala
|
|
|
|
CM epitelioma basocelular
|
|
|
|
Epitelioma en frente en tto local
|
|
|
|
|
RR Epitelioma basocelular
|
|
|
|
RR Epitelioma espinocelular
|
|
|
|
RR Epitelioma espinocelular ulcerado
|
|
|
|
RR Lupus eritematoso discoide
|
|
|
|
RR Queratoacantoma
|
|
|
|
|
RR Querión de Celso
|
|
|
|
Eritema facial
|
|
|
|
Enf. de Huntington. Contractura.
|
|
|
|
Insuficiencia respiratoria terminal
|
|
|
|
Lesiones por rascado
|
|
|
|
|
Paresia facial izquierda
|
|
|
|
Traumatismo facial
|
|
|
|
Craniectomía por meningioma
|
|
|
|
Craniectomía por meningioma
|
|
|
|
APR Letálides en cuero cabelludo
|
|
|
|
|
Epitelioma tras tratamiento local con quimioterápico
|
|
|
|
Hematoma facial por traumatismo
|
|
|
|
Hematoma facial por traumatismo
|
|
|
|
Herida incisocontusa en cuero cabelludo
|
|
|
|
Sututa de herida de cuero cabelludo
|
|
|
|
|
Traumatismo facial. Intensa reacción inflamatoria.
|
|
|
|
Trauma facial. Hematoma.
|
|
|
|
Traumatismo facial por caída
|
|
|
|
Exostosis occipital
|
|
|
|
RR Carcinoma basocelular dorso de nariz
|
|
|
|
|
RR Carcinoma espinocelular mejilla
|
|
|
|
RR Dermatomiositis. Eritema heliotropo.
|
|
|
|
E. de Steinert. Facies miopática
|
|
|
|
E. de Steinert. Facies miopática
|
|
|
|
E. de Steinert. Facies miopática
|
|
|
|
|
E. de Huntington. Prevención de heridas múltiples en cabeza por caidas recidivantes
|
|
|
|
E. de Huntington. Prevención de heridas múltiples en cabeza por caidas recidivantes
|
|
|
|
RR Lupus eritematoso sistémico. Alopecia cicatricial.
|
|
|
|
RR. Solucion quirúrgica a E.Espinocelular con colgajo por deslizamiento.
|
|
|
|
Trauma facial
|
|
|
|
|
Alopecia por encamamiento prolongado
|
|
|
|
Trauma facial por caída desde silla de ruedas
|
|
|
|
Trauma facial por caída
|
|
|
|
Trauma facial y epistaxis en ACO
|
|
|
|
Trauma facial y fractura de huesos propios de la nariz
|
|
|
|
|
Cejas tatuadas
|
|
|
|
Epitelioma basocelular inicial
|
|
|
|
Epitelioma basocelular evolucionado. 0
|
|
|
|
Epitelioma tras 4 meses de evolución, previamente a intervención quirúrgica. 1
|
|
|
|
Epitelioma tras intervención y 3 semanas de evolución. 2
|
|
|
|
|
Epitelioma tras 2 meses de evolución.3
|
|
|
|
Epitelioma intervenido tras 3,5 meses de evolución.4
|
|
|
|
Epitelioma intervenido. Curación.
|
|
|
|
Costra mixta por herida. Diagnóstico digerencial con tumoración queratósica.
|
|
|
|
Coagulopatía en neo de pulmón.
|
|
|
|
|
Agresión entre residentes.
|
|
|
|
Agresión entre residentes.
|
|
|
|
Epitelioma facial.
|
|
|
|
Herida en cuero cabelludo por caída.1
|
|
|
|
Herida en cuero cabelludo por caída. Sutura.2
|
|
|
|
|
Herida en cuero cabelludo por caída. Evolución.3
|
|
|
|
Neo de oreja derecha. Plastia con cuero cabelludo. Desplazamiento hacia zona afecta.1
|
|
|
|
Neo de oreja derecha. Plastia con cuero cabelludo. Desplazamiento hacia zona afecta.3
|
|
|
|
Neo de oreja derecha. Plastia con cuero cabelludo. Evolución.
|
|
|
|
Neo de oreja derecha. Plastia con cuero cabelludo. Desplazamiento hacia zona afecta.Evolución con curas locales.2
|
|
|
|
|
Neo de oreja derecha. Plastia con cuero cabelludo. Evolución 4.
|
|
|
|
Neo de oreja derecha. Plastia con cuero cabelludo. Evolución.
|
|
|
|
Parálisis de VII par craneal derecho tras IQ de neo de oreja. Signo de Bell.
|
|
|
|
Parálisis de VII par craneal por infiltración de neo de cuello.
|
|
|
|
Neo de oreja derecha. Nueva tumoración en zona ya irradiada y aparentemente curada.
|
|
|
|
|
Neo de oreja derecha. Nueva tumoración en zona ya irradiada y aparentemente curada.
|
|
|
|
Neo de oreja derecha. Nueva tumoración en zona ya irradiada y aparentemente curada.
|
|
|
|
Neo de oreja derecha. Nueva tumoración en zona ya irradiada y aparentemente curada. Evolución1
|
|
|
|
Neo de oreja derecha. Nueva tumoración en zona ya irradiada y aparentemente curada. Evolución 2.
|
|
|
|
Neo de oreja derecha. Premortem.
|
|
|
|
|
Neo de oreja derecha. Premortem.
|
|
|
|
Epitelioma basocelular.
|
|
|
|
Herpes oral.
|
|
|
|
Queratomas múltiples en cuero cabelludo.
|
|
|
|
Queratomas múltiples. Evolución.
|
|
|
|
|
Queratomas actínicos curados
|
|
|
|
Micosis perioral
|
|
|
|
Epitelioma de cara.
|
|
|
|
Epitelioma en cara
|
|
|
|
Epilelioma de cara muy evolucionado. Metastatizado.
|
|
|
|
|
Epilelioma de cara muy evolucionado. Metastatizado.
|
|
|
|
Epilelioma de cara muy evolucionado. Metastatizado e intervenido.
|
|
|
|
Epilelioma de cara muy evolucionado. Metastatizado.
|
|
|
|
Epilelioma de cara muy evolucionado. Metastatizado.
|
|
|
|
Queratomas y epitelioma en frente.
|
|
|
|
|
Trauma facial por caída.
|
|
|
|
Trauma facial por caída.
|
|
|
|
Trauma facial por caída.
|
|
|
|
Trauma facial por caída.
|
|
|
|
Queratomas actínicos múltiples
|
|
|
|
|
Trauma facial.
|
|
|
|
Trauma orbicular con hematoma retroocular.
|
|
|
|
Trauma orbicular con hematoma retroocular.
|
|
|
|
Herpes zóster
|
|
|
|
Herpes zóster
|
|
|
|
|
Traumatismo facial directo en anticoagulación.
|
|
|
|
Trauma mandibular por caída.
|
|
|
|
Lesión craneal y heridas por caídas múltiples en paciente epiléptico refractario al tratamiento.
|
|
|
|
Lesión craneal y heridas por caídas múltiples en paciente epiléptico refractario al tratamiento.
|
|
|
|
Lesión craneal y heridas por caídas múltiples en paciente epiléptico refractario al tratamiento.
|
|
|
|
|
Protección craneal en paciente epiléptico refractario al tratamiento con múltiples caídas.
|
|
|
|
Protección craneal en paciente epiléptico refractario al tratamiento con múltiples caídas.
|
|
|
|
Ictericia por colestasis oncológica. BT 9 mg.
|
|
|
|
Ictericia por colestasis oncológica. BT 9 mg.
|
|
|
|
Ictericia por colestasis oncológica. BT 9 mg.
|
|
|
|
|
Ictericia por colestasis oncológica. BT 9 mg.
|
|
|
|
Ictericia por colestasis oncológica. BT 9 mg.
|
|
|
|
Enf. de Huntington avanzada.
|
|
|
|
Enf. de Huntington avanzada.
|
|
|
|
Erupción facial alérgica a medicamentos. EPOC.
|
|
|
|
|
Facies cushingoide. EPOC.
|
|
|
|
Turricefalia.
|
|
|
|
Turricefalia.
|
|
|
|
Epitelioma basocelular.
|
|
|
|
Epitelioma basocelular.
|
|
|
|
|
Ictericia de origen oncológico. Neo de páncreas.
|
|
|
|
Queratoma actínico en tto con quimioterápico local.
|
|
|
|
Resultado estético tras quimioterapia local en queratoma actínico.
|
|
|
|
Resultado estético tras quimioterapia local en queratoma actínico.
|
|
|
|
Dermatitis seborreica costrosa.
|
|
|
|
|
Cuerno cutáneo en mejilla.
|
|
|
|
Epitelioma con base angiomatosa.
|
|
|
|
Letalides en cara de paciente neoplásico terminal.
|
|
|
|
Letalides en cara de paciente neoplásico terminal.
|
|
|
|
Caída con resultado de trauma sobre cara y herida supraciliar.
|
|
|
|
|
Caída con resultado de trauma sobre cara y herida supraciliar.
|
|
|
|
Caida con herida supraciliar derecha.
|
|
|
|
Epitelioma tras tratamiento local con ALDARA.
|
|
|
|
Epitelioma tras tratamiento local con ALDARA.
|
|
|
|
Politrauma facial.
|
|
|
|
|
Trepanación por hematoma subdural.
|
|
|
|
Trepanación por hematoma subdural.
|
|
|
|
Trauma facial.
|
|
|
|
Queratoma en cuero cabelludo. Quimioterapia local.
|
|
|
|
Queratoma en cuero cabelludo. Quimioterapia local.
|
|
|
|
|
EAP. postmortem.
|
|
|
|
EAP. Postmortem.
|
|
|
|
Hematoma supraciliar.
|
|
|
|
Hematoma supraciliar.
|
|
|
|
Queratoma actínico.
|
|
|
|
|
Queratoma en cuero cabelludo. En tto citostático local.
|
|
|
|
Queratoma en cuero cabelludo. En tto citostático local.
|
|
|
|
Queratomas en cara en tto citostático local.
|
|
|
|
Queratomas en cara en tto citostático local.
|
|
|
|
Traumatismo en cara.
|
|
|
|
|
Traumatismo en cara.
|
|
|
|
Traumatismo en cara por caída casual.
|
|
|
|
Hematoma palpebral. Caída casual y golpe directo.
|
|
|
|
Tumoración parotídea autolimitada
|
|
|
|
Cicatrización anómala en herida de frente.
|
|
|
|
|
Epitelioma basocelular.
|
|
|
|
Fibroma pendulum.
|
|
|
|
Isquemia terapéutica en fibroma.
|
|
|
|
Heridas lineales por caida en escalera mecánica.
|
|
|
|
Queratoma y comedones.
|
|
|
|
|
Queratosis actínica tras tratamiento con quimioterapia local.
|
|
|
|
Traumatismo facial por caída.
|
|
|
|
Herpes en labio por catarro.
|
|
|
|
Arteritis temporal. Luz tangencial.
|
|
|
|
Flemón dentario derecho.
|
|
|
|
|
Queratoma antes de tto local.
|
|
|
|
Queratoma después de tto local.
|
|
|
|
Queratoma previo a tto local con imiquimod.
|
|
|
|
Queratoma previo a tto local con imiquimod.
|
|
|
|
Queratoma durante tto local con imiquimod.
|
|
|
|
|
Queratoma tras tto local con imiquimod. Resultado estético.
|
|
|
|
Scalp frontal por caída sobre radiador.
|
|
|
|
Scalp frontal por caída sobre radiador.
|
|
|
|
Queratoma en tto con imiquimod.
|
|
|
|
Quemadura facial por cigarrillo durante el uso de O2 a través de gafas nasales.
|
|
|
|
|
Quemadura facial por cigarrillo durante el uso de O2 a través de gafas nasales.
|
|
|
|
Quemadura facial por cigarrillo durante el uso de O2 a través de gafas nasales.
|
|
|
|
Quemadura facial por cigarrillo durante el uso de O2 a través de gafas nasales.
|
|
|
|
Herida por caída casual. Sutura seda 3/0.
|
|
|
|
Herida por caída casual. Sutura seda 3/0. Resultado estético.
|
|
|
|
|
Queratoma en tto con imiquimod.
|
|
|
|
Queratoma en tto con imiquimod.
|
|
|
|
Dolicocefalia.
|
|
|
|
Herpes zóster de la 1ª rama del N.Trigémino. Sin afectación de rama nasal ni córnea.
|
|
|
|
Herpes zóster de la 1ª rama del N.Trigémino. Sin afectación de rama nasal ni córnea.
|
|
|
|
|
Herpes zóster de la 1ª rama del N.Trigémino. Sin afectación de rama nasal ni córnea.
|
|
|
|
Lesiones de rascado en cuero cabelludo
|
|
|
|
Herpes zóster trigeminal.
|
|
|
|
Herpes zóster trigeminal.
|
|
|
|
Herida incisocontusa en cuero cabelludo. Sutura.
|
|
|
|
|
Herpes zóster trigeminal.
|
|
|
|
Herpes zóster trigeminal.
|
|
|
|
Herpes zóster trigeminal.
|
|
|
|
Sobreinfección cutánea sobre masa tumoral mandibular.
|
|
|
|
Sobreinfección cutánea sobre masa tumoral mandibular.
|
|
|
|
|
Sobreinfección cutánea sobre masa tumoral mandibular.
|
|
|
|
Sobreinfección cutánea sobre masa tumoral mandibular.
|
|
|
|
Traumatismo facial en anticoagulada.
|
|
|
|
Penfigoide diseminado. Afectación cuello y cara. Eritrodermia
|
|
|
|
Penfigoide diseminado. Afectación cuello y cara.
|
|
|
|
|
Extirpación de epitelioma basocelular en sien derecha. Irradiado.
|
|
|
|
Extirpación de epitelioma basocelular en sien derecha. Irradiado.
|
|
|
|
Extirpación de masa tumonal en cuero cabelludo.
|
|
|
|
Dilatación venosa palpebral
|
|
|
|
Carcinoma epidermoide infiltrante. Evolución 1.
|
|
|
|
|
Carcinoma epidermoide infiltrante. Evolución 2.
|
|
|
|
Carcinoma epidermoide infiltrante. Evolución 3. Extirpación e injerto de la zona.
|
|
|
|
Carcinoma epidermoide infiltrante. Evolución 4. Reaparece.
|
|
|
|
Carcinoma epidermoide infiltrante. Evolución 5. Se descarta nueva intervención. Se descarta radioterapia.
|
|
|
|
Carcinoma epidermoide infiltrante. Evolución 6. El injerto evoluciona bien pero el tumor crece.
|
|
|
|
|
Carcinoma epidermoide infiltrante. Evolución 7.
|
|
|
|
Carcinoma epidermoide infiltrante. Evolución 8.
|
|
|
|
Carcinoma epidermoide infiltrante. Evolución 9.
|
|
|
|
Carcinoma epidermoide infiltrante. Evolución 10.
|
|
|
|
Carcinoma epidermoide infiltrante. Evolución 11. Estadíos finales.
|
|
|
|
|
Carcinoma epidermoide infiltrante. Evolución 12. Estadíos finales.
|
|
|
|
Carcinoma epidermoide infiltrante. Evolución 13. Estadíos finales.
|
|
|